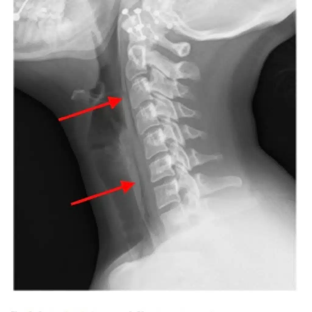
Episode #321: Mystery Case (Severe Throat Pain After Lifting)

Episode #321: Mystery Case (Severe Throat Pai...

Up next

Direct Line April 2026: Stopping Ozempic and Lifting With Osteopenia

Stop a GLP-1 and about two thirds of the weight loss comes back within a year. Three randomized withdrawal trials (SURMOUNT-4, STEP 1 extension, STEP 4) and a new BMJ 2026 systematic review of 37 RCTs and nearly 10,000 adults all land on the same signal. The cardiometabolic benef ...  Show more

Is the Testosterone Crisis Real? The Numbers Behind the Headlines | Signal Ep 1

Every week there's a new headline saying men are losing testosterone. A quarter of men now start testosterone replacement therapy without ever getting their blood tested. The supplement aisle is full of boosters that either do nothing or contain undisclosed steroids. And the lab ...  Show more

Recommended Episodes

#349 - AMA #71: Building strength and muscle mass: how to optimize training, nutrition, and more for longevity
The Peter Attia Drive

View the Show Notes Page for This Episode

<a href= "https://peterattiamd.com/subscribe/?utm_source=podcast-feed ...

  Show more

2433: The Muscle Building Value of Creatine on a Low Protein Diet, Good Pre-Workout Snacks, When to Lift With a Belt & Straps & More (Listener Coaching)
Mind Pump: Raw Fitness Truth

In this episode of Quah (Q & A), Sal, Adam & Justin answer four Pump Head questions drawn from last Sunday's Quah post on the @mindpumpmedia Instagram page. Mind Pump Fit Tip: Here are three health habits I regret not starting in my 20s. (1:44) Ninja cream. (14:57) The education ...  Show more

#094 Dr. Layne Norton on Building Muscle – Insights on Diet, Training, and Supplements
FoundMyFitness

Get my exact protocols for boosting levels of brain-derived neurotrophic factor (BDNF) and enhancing cognition

<a href= "https://www.foundmyfitness.com/aliquot?utm_campaign=la ...

  Show more

385: The Impact Of NSAIDs On Muscle Growth - Brandon Roberts
The Revive Stronger Podcast

Brandon is back on the show to give you the low down on NSAID’s, do they help or hinder muscle growth? If you want to maximise your gains but have pain, how should you navigate use of NSAIDs? And what can we do to mitigate pain outside of using these drugs? Timestamps: 00:00 Int ...  Show more